子どもに歯肉炎が急増!! 乳幼児期から始めたい「正しいデンタルケア」

Contributer Contributer
2018.11.30
1/5
2/5
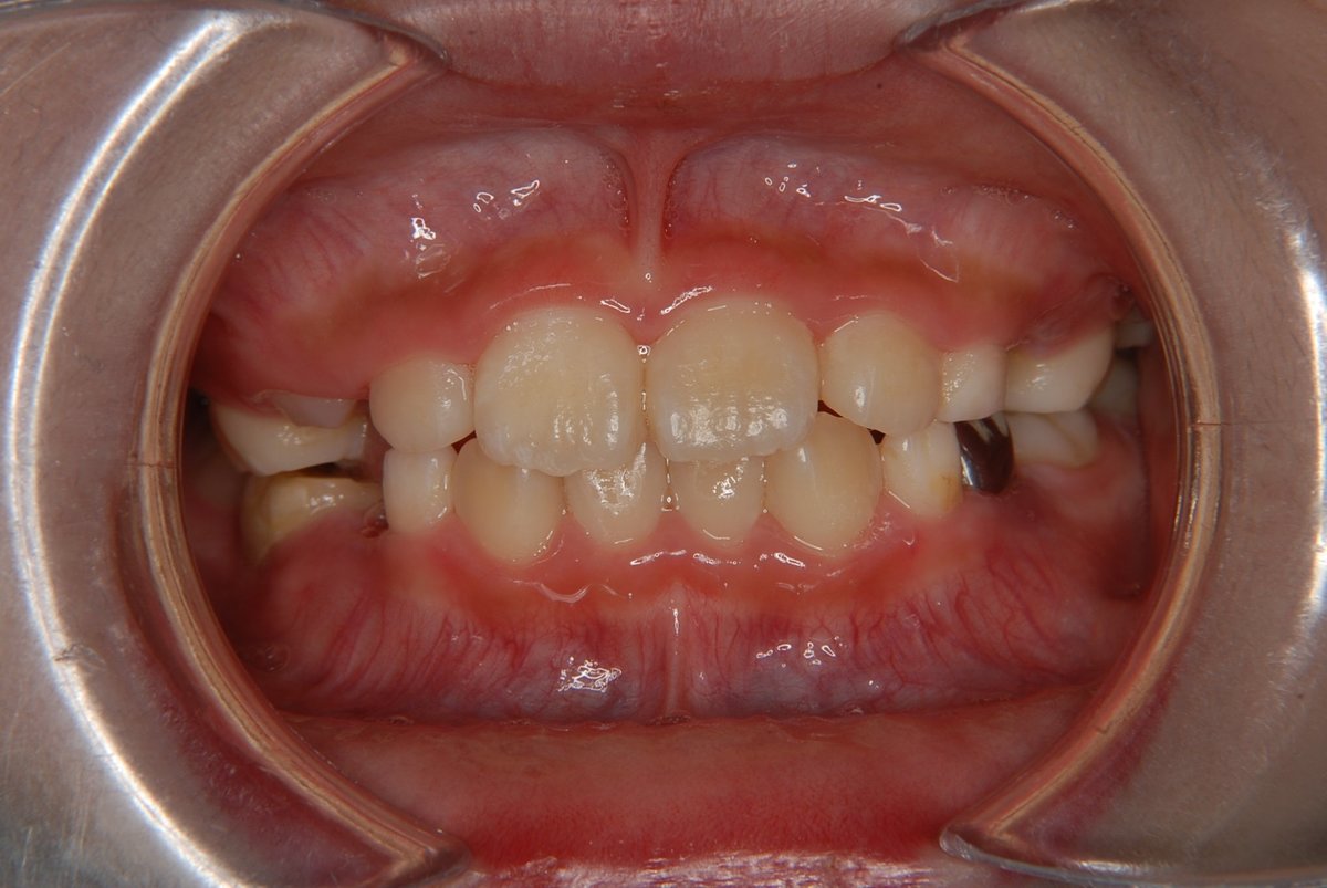
▲上唇と歯茎をつなぐ〝すじ〟が「上唇小帯」
3/5
▲上唇と歯茎をつなぐ〝すじ〟が「上唇小帯」
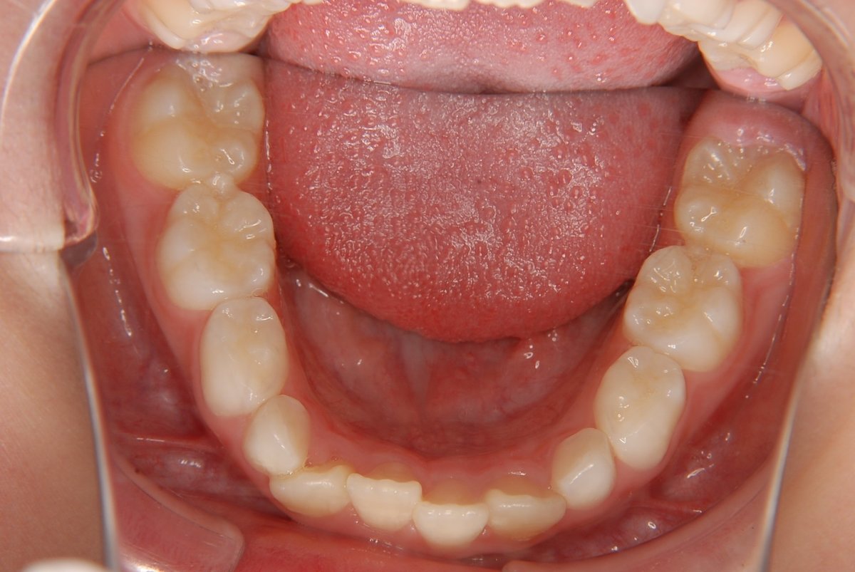
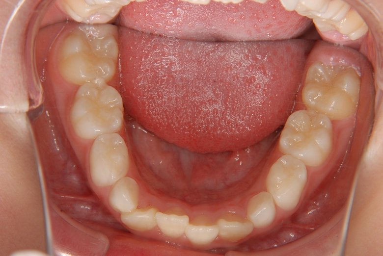
 ▲前歯とその両サイドの乳臼歯の奥に生える大きな歯が「6歳臼歯」
4/5
 ▲前歯とその両サイドの乳臼歯の奥に生える大きな歯が「6歳臼歯」
5/5
▲上唇と歯茎をつなぐ〝すじ〟が「上唇小帯」
 ▲前歯とその両サイドの乳臼歯の奥に生える大きな歯が「6歳臼歯」
写真の記事を読む

RANKING ランキング

週間
月間

HOROSCOPES 占い

INFORMATION インフォメーション

CHANTO FRIEND CHAN友募集

KEYWORDS 人気のキーワード

×