働く女性の生きやすさにコミット
注目のキーワード
漫画
SDGs
子供の安全を守る
発達障害
成城石井
注目のキーワード
漫画
SDGs
子供の安全を守る
発達障害
成城石井
最近の検索
トップ
総研
特集
連載
漫画
占い
レシピ
読み物
ニュース
ビジネス
すべて
働き方
仕事術
ビジネスマナー
産休・育休
働くママ調査
エンタメ
すべて
インタビュー
本
アニメ
イベント
ヘルス
すべて
女性の健康
子どもの健康
子育て
すべて
妊活
出産
幼稚園・保育園児
小学生
ライフ
すべて
家事
マネー
美容
インテリア
コミュニケーション
インフォメーション
広告掲載について
総研
特集
連載
漫画
占い
レシピ
ニュース
ビジネス
エンタメ
ヘルス
子育て
ライフ
トップ
ライフ
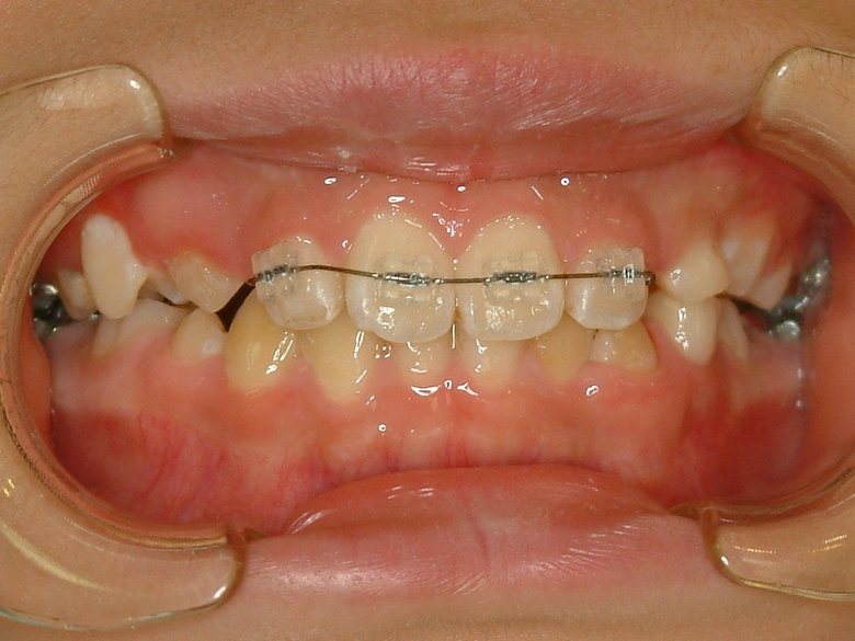
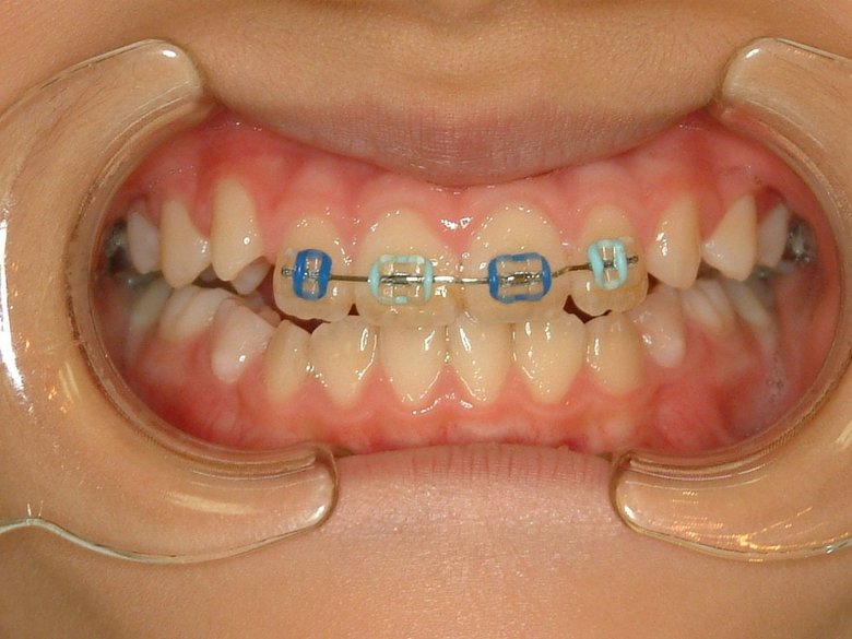
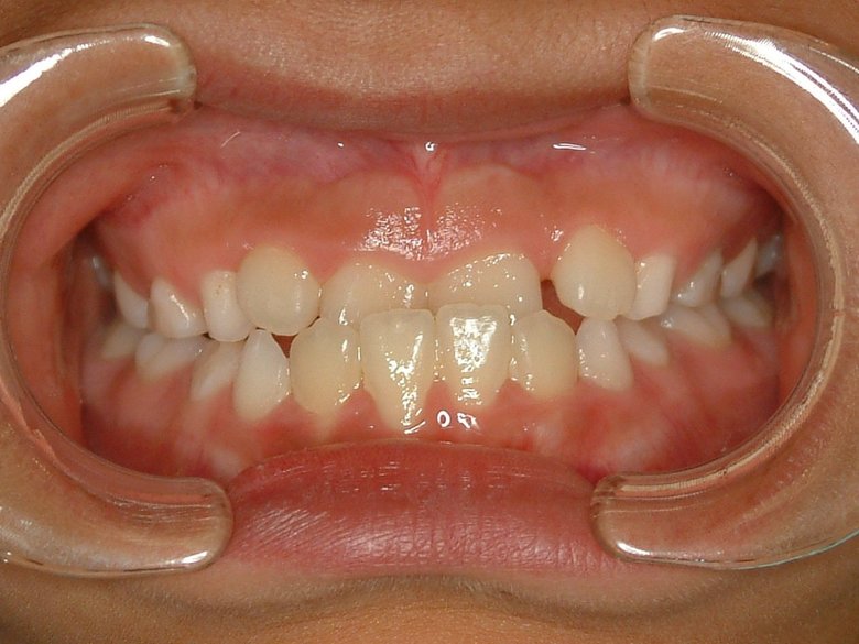
子どもの「歯並び」歯列矯正したほうがいいケースと治療の進め方
子どもの「歯並び」歯列矯正したほうがいいケースと治療の進め方
Contributer
ライフ
スキンケア
美容
2018.11.28
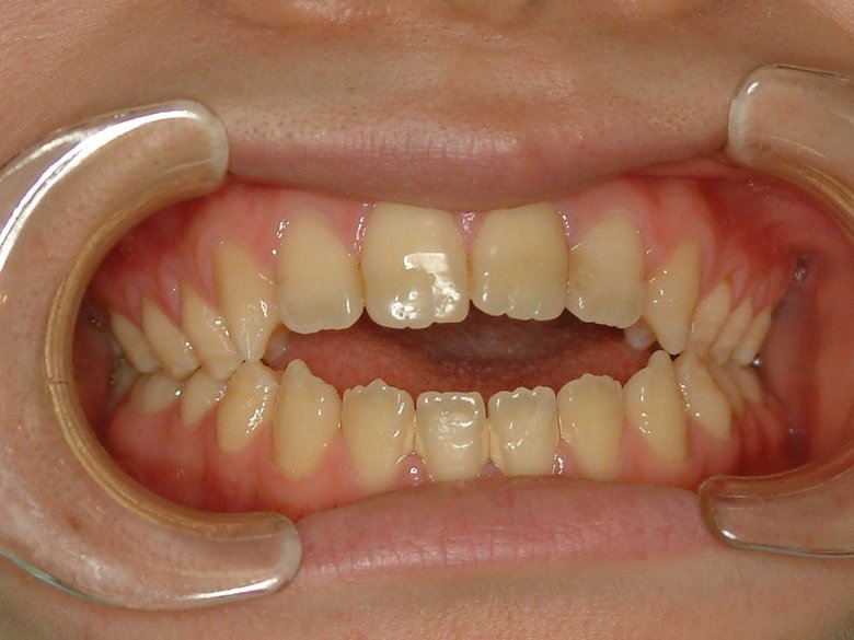
1/14
2/14
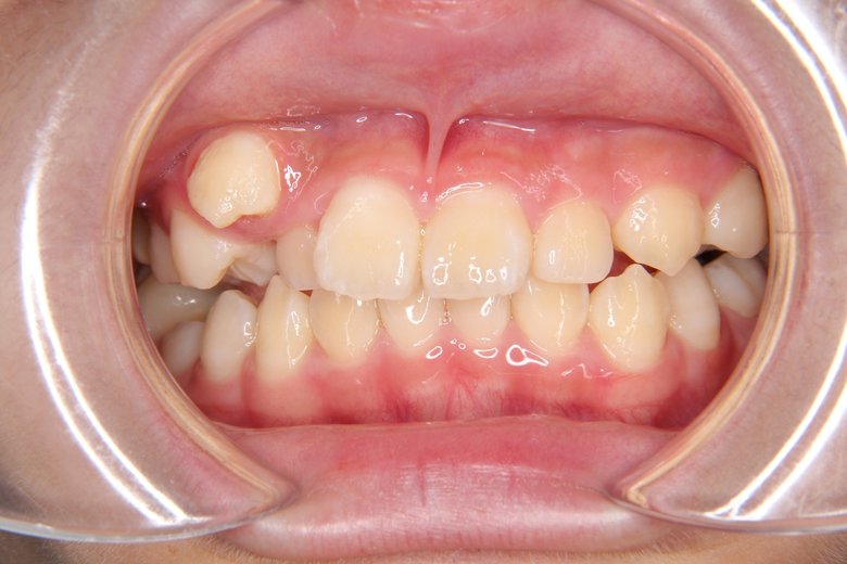
3/14
4/14
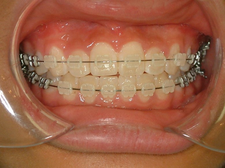
5/14
6/14
7/14
8/14
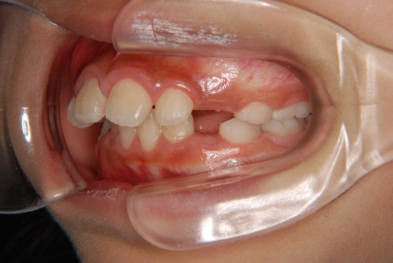
9/14
▲「金属製」
10/14
▲「プラスチック製」
11/14
▲「セラミック製」
12/14
▲「飾りゴム」装着時
13/14
▲部分磨き用の「ワンタフトブラシ」
14/14
写真の記事を読む
RANKING
ランキング
週間
月間
難病の娘は18歳「ありのまま愛せばいい」という正論に父が抱く違和感と、代弁し続ける「娘の本音」
「ごめんね、無事に産んであげられなくて」自責の夜を越えた母が開発した「1000個の希望」脳性まひの息子と歩んだ12年
「2歳の娘は難病」お祓いにすらすがった父。絶望の淵から突き動かした「5億円の賭け」と新幹線での独断
「幕下に落ちたら唐揚げ屋を」から雷部屋の継承へ。獅司も「母」と慕う元相撲女王、愛と覚悟の半生
「抱くと石みたく固く突っ張る息子」重度脳性まひの絶望。18歳で居場所失う「福祉の断絶」母の終わらない介護
難病の娘は18歳「ありのまま愛せばいい」という正論に父が抱く違和感と、代弁し続ける「娘の本音」
「ママ、死んでもいいよ」夫の急逝、下半身麻痺…絶望した母。娘が私を否定しなかったから「救われたんだと思う」
「弁当に砂をかけられ、母の背中を見て泣いた」なだぎ武 中学時代の壮絶ないじめ SOSを送った先生からの衝撃的な歌
「パパ死んじゃえ」が父娘の最後の会話に。39歳で急逝した父、遺された家族が辿り着いた「後悔の終着点」
「ごめんね、無事に産んであげられなくて」自責の夜を越えた母が開発した「1000個の希望」脳性まひの息子と歩んだ12年
6位〜30位を見る
HOROSCOPES
占い
INFORMATION
インフォメーション
《無料マネー講座》参加者募集!7月29日オンライン開催『セカンドライフを豊かに!〜安心とゆとりの資金設計〜』
PR
【募集】あなたが知りたい「マネー情報」を教えてください!
「不器用でもこれなら余裕」キラキラ白髪に悩む40代編集部員が感動した「おうちでサロン体験」
「ホコリまで再利用!?」半世紀以上前から環境配慮に取り組むダスキン「年間約1億3100万枚の掃除用品を再商品化」する舞台裏
PR
他のお知らせを見る
CHANTO FRIEND
CHAN友募集
【大募集!】撮影や企画に参加できる「CHAN友」に参加しませんか?
KEYWORDS
人気のキーワード
子どもの安全を守る
インタビュー
介護
ビジネスメールの作法
心理テスト
×